赛派号

身体皮肤干用什么洗澡好 乏脂性湿疹(干性湿疹):皮肤干燥、皲裂、脱屑、瘙痒!

乏脂性湿疹(干性湿疹):皮肤干燥、皲裂、脱屑、瘙痒!

发表者:盛景祖 人已读

乏脂性湿疹(Asteatotic eczema,AE),亦称干性湿疹、干皮症(Xerosis)、干裂性湿疹(eczema craquele),是一种常见瘙痒性皮肤病。

1、流行病学

AE尤其于冬季好发,该季节皮肤更易干燥。

老年人群更多见,是老年人群最常见湿疹类型。但年轻人群亦可发病。

2、病因学

皮肤变干是因为表皮水分丢失,这与冬季、寒冷、气候干燥相关。

老年人群皮脂腺及汗腺分泌减少、摩擦、频繁长时间热水浴、使用去油制剂等均参与AE发生。

利尿剂、维A酸类、抗肿瘤药、抗雄激素药等药物可加重表皮变干。

部分病例伴恶性肿瘤、肾衰、甲亢、尿毒症、甲减、营养不良(锌、必须脂肪酸、氨基酸)、辐射等潜在系统疾病。

(霍奇金淋巴瘤合并AE)

3、发病机制

AE患者角质层游离脂肪酸数量减少,进而导致经表皮水分丢失增加,约为一般人群的75倍。

老年人群皮脂腺及汗腺活性降低。

表皮水分过度丢失可导致角质层皲裂,皲裂过深者可累及真皮毛细血管,最终导致出血。

干燥亦可导致瘙痒与搔抓。搔抓可导致抓痕、水肿性斑片、苔藓样变等。

过敏原及细菌可通过这些裂隙穿透入皮肤,诱发过敏性接触性皮炎、刺激性接触性皮炎或感染。

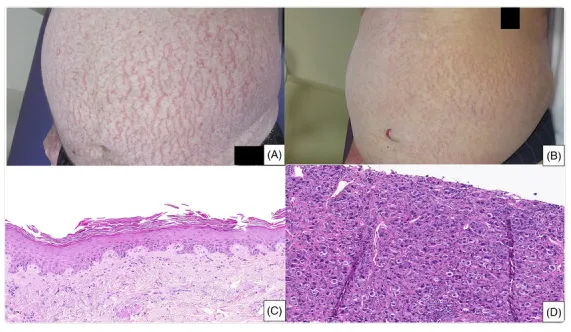
4、临床表现

典型特征为皮肤干燥、皲裂、脱屑、红肿等。

起初为皮肤干燥、皮纹加深,随着疾病进展开始出现皲裂、裂隙(表皮水分丢失所致),皲裂性皮肤呈多角形或曲线样模式。不规则皲裂、脱屑模式有时被称为“Crazing Ping”。常伴瘙痒。随着搔抓或揉搓后出现诸如红斑、水肿、渗出、苔藓样变、出血、抓痕、感染等继发性改变。

皮疹可累及任何体表部位,通常可见于双小腿前外侧面,亦可累及背部、躯干及上肢。

5、组织病理

常无需活检。

多呈轻度亚急性海绵水肿性皮炎样表现,可见角化过度、角质层不规则且致密、棘层增厚、海绵水肿、不同程度的炎症细胞浸润。

6、诊断

临床多可直接诊断。

需仔细询问病程、生活细节(洗澡频率、香皂使用情况、饮食、用药史)等。

需与急性水肿/皮肤膨胀综合征(acute edema/cutaneous distension syndrome)、粘液水肿、蜂窝织炎、淤积性皮炎、变应性接触性皮炎、刺激性接触性皮炎、钱币状湿疹等鉴别。

7、治疗

加强日常保湿,建议使用高油脂含量保湿霜,每天2次及洗澡后即刻使用。

加强日常保湿,建议使用高油脂含量保湿霜,每天2次及洗澡后即刻使用。

外用激素:弱效激素(地奈德、氢化可的松)用于轻症者;中强效激素(氟轻松、曲安奈德、倍他米松)用于中度者。激素应用同时应继续保湿霜应用,两者先后顺序不影响疗效。

1%吡美莫司乳膏、α羟基酸等亦有应用报道。

应嘱患者减少洗澡频率、减少香皂使用、干燥环境时使用加湿器等。

本文为转载文章,如有侵权请联系作者删除。本文仅供健康科普使用,不能做为诊断、治疗的依据,请谨慎参阅

真诚赞赏,手留余香 收藏 举报 分享到微信 分享到QQ 分享到QQ空间 分享到新浪微博 × 分享到微信 打开微信“扫一扫”,即可分享该文章

发表于:2024-11-15

版权声明:本文内容由互联网用户自发贡献,该文观点仅代表作者本人。本站仅提供信息存储空间服务,不拥有所有权,不承担相关法律责任。如发现本站有涉嫌抄袭侵权/违法违规的内容, 请发送邮件至lsinopec@gmail.com举报,一经查实,本站将立刻删除。

上一篇 没有了

下一篇没有了